1 lira yüzünden canından oluyordu
Bursa'nın İnegöl ilçesinde evinde oynarken yerde bulduğu madeni 1 lirayı yutan 9 aylık bebek ölümden döndü. Röntgen filminde bebeğin boğazındaki 1 lirayı farkeden doktorlar operasyonla parayı çıkardı.
Edinilen bilgiye göre, olay önceki gün İnegöl'de yaşandı. Abir ve İbrahim Osman çiftinin tek çocuğu olan 9 aylık Mustafa Osman, evde oyun oynadığı sırada yerde bulduğu 1 lirayı yuttu. Boğazına takılan madeni para yüzünden nefessiz kalan minik bebek önce İnegöl Devlet Hastanesi'ne ardından da Bursa Şevket yılmaz Eğitim Araştırma Hastanesine götürüldü.

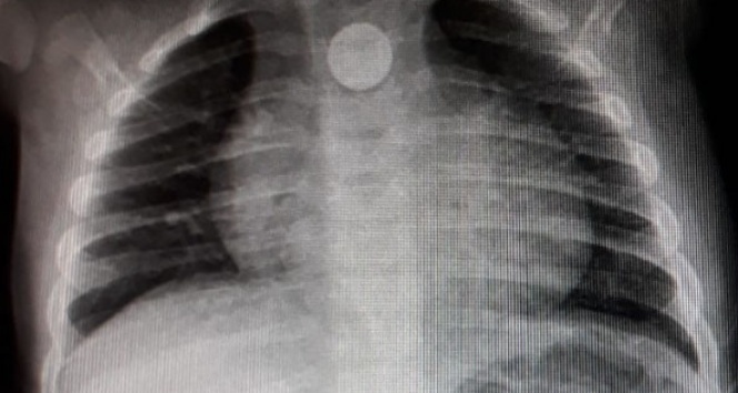
Bozuk para röntgen filminde ortaya çıktı
Yoğun bakıma alınan minik bebeğe önce film çekildi. 9 aylık Mustafa'nın boğazına takılan madeni para filmde ortaya çıkınca doktorlar tarafından operasyon yapıldı. Boğazındaki 1 lira çıkarılan minik bebek daha sonra rahat nefes almaya başladı. 1 gün hastanede müşahade altında tutulan küçük çocuk bugün taburcu edildi. Doktorların zamanında müdahalesiyle yeniden hayata dönen küçük çocuğu evinde yeniden oyuncaklarıyla oynamaya başlaması ev sakinlerini sevindirdi.

Mustafa'nın amcası Hüseyin Osman, "Yeğenim oyun oynarken yerde 1 lira görüyor ve yutmaya çalıştığı sırada boğazına takılı kalıyor. Bizde hemen hastane götürdük. Daha sonra bizi Bursa'ya gönderdiler. Çok şükür Bursa'daki hastanede operasyonla para çıkartıldı. Allah'a şükürler olsun ki yeğenimize bir şey olmadı" dedi.
Türkçe karakter kullanılmayan ve büyük harflerle yazılmış yorumlar onaylanmamaktadır.